فیصل آباد کے چلڈرن اسپتال میں ڈاکٹروں نے بروقت اور انتہائی مہارت کا مظاہرہ کرتے ہوئے ایک تین سالہ بچے کی جان بچا لی، جس نے کھیلتے ہوئے غلطی سے لوہے کا تالا نگل لیا تھا۔ واقعے کے بعد بچہ گزشتہ چار روز سے شدید تکلیف اور سانس رکنے جیسی خطرناک علامات کا شکار تھا، جس پر اسے تشویشناک حالت میں اسپتال منتقل کیا گیا۔
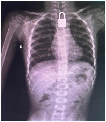
اسپتال ذرائع کے مطابق بچے کے گلے میں تالا پھنس جانے کے باعث سانس کی نالی شدید متاثر ہو چکی تھی اور کسی بھی لمحے جان جانے کا خدشہ تھا۔ طبی معائنے اور ایکسرے رپورٹس کے بعد فوری طور پر ایمرجنسی آپریشن کا فیصلہ کیا گیا، جو کامیابی سے مکمل کر لیا گیا۔

اس حوالے سے چلڈرن اسپتال کے شعبہ کی سربراہ ڈاکٹر نگینہ شہزادی نے بتایا کہ بچے کو سانس رکنے کی شکایت پر لایا گیا تھا، جبکہ تالا گلے میں پھنسنے کے باعث اس کی زندگی کو شدید خطرات لاحق تھے۔ انہوں نے بتایا کہ ماہر ڈاکٹروں کی ٹیم نے نہایت احتیاط اور پیشہ ورانہ مہارت کے ساتھ آپریشن انجام دیا، جس کے نتیجے میں تالا بحفاظت نکال لیا گیا۔
ڈاکٹر نگینہ شہزادی کے مطابق اگر بچے کو بروقت طبی امداد نہ ملتی تو معاملہ جان لیوا ثابت ہو سکتا تھا۔ کامیاب آپریشن کے بعد بچے کی حالت اب خطرے سے باہر بتائی جا رہی ہے اور وہ ڈاکٹروں کی زیر نگرانی تیزی سے صحتیاب ہو رہا ہے۔
ماہرینِ صحت نے والدین کو ہدایت کی ہے کہ وہ کم عمر بچوں کو کھیل کے دوران چھوٹی اور خطرناک اشیاء سے دور رکھیں، کیونکہ معمولی سی غفلت بھی بڑے حادثے کا سبب بن سکتی ہے۔ اس واقعے نے ایک بار پھر والدین کی ذمہ داری اور بروقت طبی امداد کی اہمیت کو اجاگر کر دیا ہے۔


